“Věda se zakládá na vědění”
Zemřel šampion pozitivní vědy – německý patolog Arne Burkhardt.
V 79 letech měl Arne Burkhardt rozdělanou velkou práci. Přední německý patolog během čtyřiceti let praxe udělal půl milionu patologických nálezů. Skutečné pozdvižení ale vyvolalo pár desítek vzorků, kterými se zabýval až teď - v důchodu. Byly to tkáně dosud zcela zdravých lidí, kteří v poslední době náhle zemřeli.
“Volali mi příbuzní těch lidí a říkali: Můj manžel byl zdravý, to není možné, že zemřel bez další příčiny. Prosili mě, abych se na pitevní nálezy podíval,” vysvětloval před pár týdny na slyšení v Evropském parlamentu. Laskavý doktor Burkhardt jejich prosby nedokázal odmítnout.
Volejte pevnou linku 07121…
07121 je předvolba městečka Reutlingen v Bádensku-Würtenbersku, kde Arne Burkhardt spolu s kolegy v suterénní laboratoři zkoumal vzorky případů, na nichž jeho kolegové na univerzitních klinikách neshledali nic podezřelého.
Burkhardt narozdíl od nich v krátké době zjistil znepokojivá fakta. Výsledky ho natolik vyděsily, že bezodkladně odvysílal Improvizovanou “tiskovou konferenci patologů”. Světu oznámil, že ve vzorcích nalezl možné důkazy, které svědčí o úmrtí na následky mRNA covid vakcíny. Během přímého přenosu, který prošel internetem v září 2021, ukázal před kamerami patologické nálezy spike proteinu snad ve všech tkáních náhle zemřelých osob. . .

Vědecký suterén
Tisková konference z Burkhardtova Patologického institutu Reutlingen zapůsobila jako bomba. Trojice vědců v důchodu, z toho dva emeritní profesoři patologie, v improvizovaném přenosu plném výpadků říkali pravý opak toho, co vehementně tvrdila na hlavních kanálech od rána do večera (bez stejně široce šířené oponentury) oficiální místa.
Propagátoři vakcinace na všech úrovních kampaně spustili poplach. Váženého profesora medicíny, dlouholetého funkcionáře patologické společnosti, oblíbeného lékaře a poctivého vědce bylo třeba okamžitě znectít a jeho závěry pošlapat.
Novináři z Die Welt po “pečlivém zkoumání” vítězoslavně sdělili veřejnosti, že Patologický Institut Reutlingen se nedá najít na internetu! Prozradili tak nechtěně, jak pracovala vědecká redakce nedělního Weltu pod vedením Piy Heinemann celou pandemii. Redaktorky se nejenže neobtěžovaly zajet přímo na místo a Burkhardta konfrontovat, ale dokonce nevytočily ani číslo, na které volaly stovky příbuzných, aby si přímo s profesorem Burkhardtem promluvily aspoň po telefonu.
Zjištění vědeckých žurnalistek, že bezmála osmdesátiletý profesor nemá webovou stránku a neumí dělat internetové přenosy, poctivě přebíraly fact-checkingové weby typu manipulatori.cz. Očerňující kampaň jela na plné obrátky.
Jenže přesně to, čím se snažili vzbudit nedůvěru, dodávalo patologovi z Reutlingen v očích veřejnosti na důvěryhodnosti. Bylo zřejmé, že emeritní profesor Arne Burkhardt je muž staré školy. Chodí v obleku, má pevnou linku, dům a přátele mezi kolegy. Jako důchodce je vyvázán z institucionálních obligací a jeho vědění je stejně pevně usazené v tkáních jako ta pevná linka, co vede k jeho domu v uličce Obere Wässere 5.
Politická patologie
Německá patologická společnost se od videa patologů “ostře distancovala”. Označila informace v něm za “soukromé názory”, které nejsou “postojem Německé patologické společnosti”. Jako by snad patologičtí veteráni slovem či obrazem naznačovali, že mluví z nějaké jiné “pozice” než ze své osobní.
Tiskovka z laboratoře v suterénu artikulovala postoj jediný – antiautoritářský. Arne Burkhardt otevřeně vysvětloval, proč on a jeho kolega prof. Lang, rovněž v důchodu, zveřejnění svých výsledků zbytečně neodkládali, i když si byli vědomi, že první výstupy měly “jisté nedostatky, o kterých budeme jistě ještě mluvit.”
A nejvíc o nich mluvili factcheckeři. Proprali všechno včetně divokých spekulací, jestli se tiskovka vůbec uskutečnila a suterén v Reutlingenu existuje. A jak je jejich špatným zvykem, Arne Burkhardovi k tomu možnost vyjádřit se už nedali.

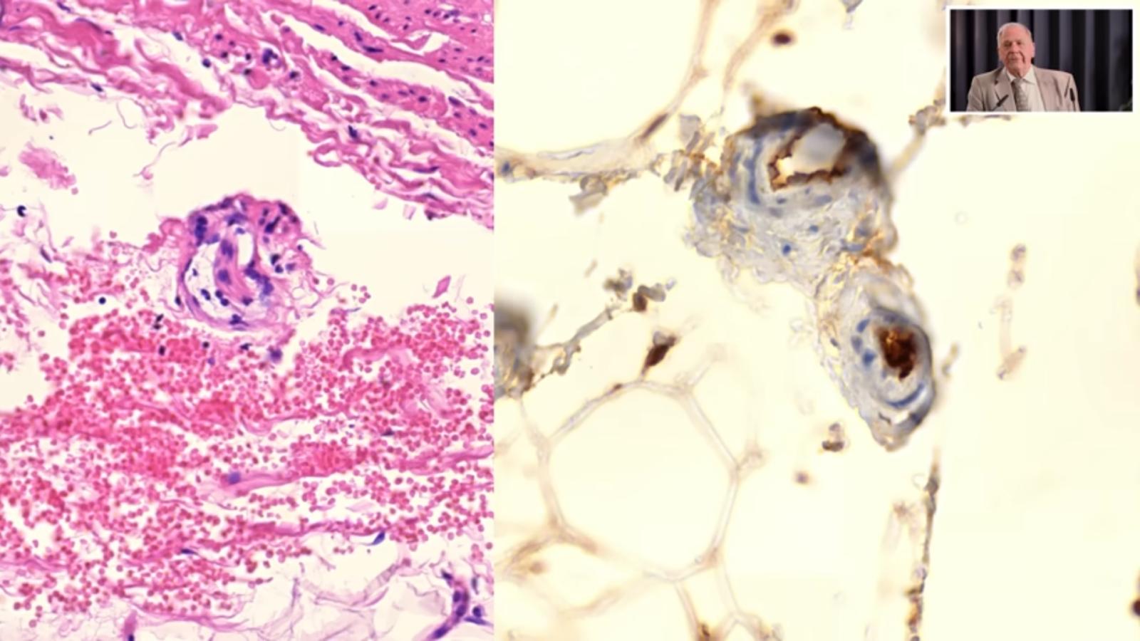
Přesto útok na Arne Burkhardta vyšel naprázdno. Okouzlení würtenberským penzistou nepřecházelo. Sílilo. Lidé měli Arne Burkhardta tím raději, čím víc ho slyšeli věcně popisovat obarvené disekce. Jsou na nich vidět vyžrané tkáně, praskliny, ucpané kapiláry… “Když tohle patolog vidí,” vysvětloval, “má hned podezření na toxický původ poškození.” Jed v tomto případě produkuje tělo samo podle receptu mRNA. Depozity pigmentu po spike proteinu jsou na dalším snímku. Arne Burkhardt našel stopy přítomnosti/ produkce spike proteinu v nejrůznějších orgánech.

Záhy měl mezinárodní publikum. Své výsledky prezentoval v Kanadě, Bulharsku, Itálii, Jižní Korei... Domácímu publiku se omlouval, že už nestíhá dělat slidy jinak než v angličtině.
Věda bez vědění
Jindy by se média pokusila získat Arne Burkhardta pro těsnější spolupráci, vysílat rozhovor nebo raději sérii rozhovorů, pořad se slavným patologem z jeho suterénu. Strhující příběh vitálního důchodce, který pomáhá lidem a pokračuje v odborné práci. Namísto toho se v dubnu 2022 německá veřejnoprávní televize pokusila o frontalní útok na Burkhardtovu reputaci. Reportáž v hlavní publicistické relaci ZDF frontal21 stavěla na stejném půdorysu jako půl roku starý článek novinářek z Die Weltu.

Pokud se na výsledek jejich práce podíváte v čase zhruba od 8. minuty, uvidíte vědu, jak má vypadat podle investigativců ZDF. Tahle Věda s velkým V nosí bílý plášť, sídlí na univerzitní klinice, mluví ústy představeného, u drahého přístrojového vybavení sedí mlčky celé konsilium v rouškách! Co však v televizních záběrech práce patologů paradoxně chybí, jsou tkáně, vzorky, preparáty. Vidíme jen fasády, lidi v bílých pláštích se zaruškovanými obličeji, cedulky s tituly, loga institucí a slyšíme hlas autority.
Naproti tomu Arne Burkhardt novinářům ukazoval (od 7:52) probarvené tkáně na snímcích i konkrétní preparát na svém stole. Zcela nelogicky k obrazu ale závěrečný komentář zní: “Doklady nemá, přesto své teorie šíří dál.”

Nálezy Arne Burkhardta v reportáži hodnotí Gustavo Baretton, šéf stejné Německé patologické společnosti, která se už v září 2021 od svých dlouholetých členů a funkcionářů ostře distancovala. Tentokrát si drážďanský profesor Baretton přisadí:
“[Burkhardt] sám ty pitvy neprováděl, to znamená, že měl nějaký odkudsi zaslaný materiál, který si prohlédl v mikroskopu – materiál z jednotlivých orgánů. Výkon pitvy ale spočívá v prozkoumání veškerých orgánů a to všechno, co předložili profesoři Burkhardt a Lang, neodpovídá standardům vědecké práce.”

V reportáži už Arne Burkhardt nedostal možnost se těmto nařčením bránit. Svou obhajobu na soukromě pořízeném videu začal příznačně:
“Nejdřív musíme říct, že věda spočívá na vědění. A žádné takové vědění pan předseda Německé patologické společnosti, co se týká naší práce s panem Langem, zkrátka nemá.”
Arne Burkhardt představoval vědu jako produkci vědění – pozitivní cestu za dalšími poznatky, cestu od nevědomosti k poznání. “Nevědcům”, kteří se rituálně zaklínají věčnými pochybami a kteří během pandemie zamořili média v Německu stejně jako u nás, Arne Burkhard nerozuměl. Co po něm chtějí?
“A ta nepochopitelná výtka, že neexistují doklady! Jaké doklady bychom měli předložit? Naše doklady jsou preparáty, které leží u mě na stole, potažmo pod mikroskopem, a každý patolog nebo i laik, který se na to cítí, si je může přijít prohlédnout. Nabízíme to od září minulého roku a za tu dobu nikdo z těch, kdo se o našich zjištěních vyjadřuje tak negativně, nezvedl telefon, aby se přišel podívat, nebo bych mu je i já klidně přinesl ukázat.”

Reportáž navíc budila šílený dojem, že Arne Burkhardtovi zasílají vzorky tkání svých příbuzných sami pozůstalí:
“Ne, od příbuzných ne! To je samozřejmě naprostý nesmysl. Jako že by pozůstalí šli na své nebožtíky s nožem a odřízli si kus masa někam do hrnce, jak to v té reportáži málem vypadá... Ne, dostali jsme upravené vzorky jak je to v soudním lékařství obvyklé. A zpracovali jsme je standardními metodami preparace.”
Mrtví zdraví jako řípa
Rok stará reportáž ZDF byla nakonec labutí písní očkovacích fanatiků. Německo dnes likviduje vakcíny ve velkém, v tak velkém, že Spolkové ministerstvo zdravotnictví ani neví, kolik dávek pálí. Süddeutche Zeitung ztrátu odhadlo na k březnu letošního roku na 83 milionů vyhozených dávek. Tím množstvím by se ještě jednou proočkovali všichni Němci.
Se zpožděním další němečtí patologové dospívají k podobným zjištěním jako Arne Burkhardt. A čelí stejným výtkám: příliš málo případů, proč tito lidé a ne jiní... Například Schirmacherova práce popisuje 5 případů postvakcinační myokarditidy. A i tento počet stačil na vědeckou publikaci. Burkhardt s kolegou Langem prozkoumali málem 50 případů! Přesto Arne Burkhardt připouštěl, že jeho vzorek pacientů není reprezentativní. Jeho odpověď na tuto námitku ještě ostřeji nasvicuje problém:
“Těch 46 lidí bylo zdravých jako řípa, nic jim nebylo, běhali maraton… jejich úmrtí po vakcíně, nebo krátce po očkování bylo tak děsivě nečekané, že tomu příbuzní vůbec nechtěli věřit. Je to tedy speciální skupina lidí, kteří byli do očkování zvlášť zdraví.”

Ztráta pružnosti
Ale nejde jen o mrtvé. Arne Burkhardt spatřil v mikroskopu toxické působení spike proteinu na tkáně očkovaných lidí. Popsal a doložil mechanismus, kterým hrotová bílkovina poškozuje orgány. V cévních stěnách tento jed vyžírá elastickou výztuž, která zajišťuje pružnost cév.
Ve svém projevu před poslanci evropského parlamentu zmínil, jak mu znepokojeně volala manželka jednoho z očkovaných, že jí manžel po vakcíně nápadně sešel a zestárl. “Je to ztráta elasticity cév. Takto se projevuje,” řekl mimo jiné na svém posledním veřejném vystoupení v Bruselu, kam byl pozván skupinou opozičních poslanců, spolu s dalšími špičkovými vědci. Všechny je spojuje jedno - dělají svoji práci a chtějí o ni dát vědět těm, které zajímá. Jeho vystoupení vzbudilo mimořádně velký ohlas.
Pevnou linku na Arne Burkhardta, na kterou volali pozůstalí a příbuzní pacientů, měl čtrnáct dní uloženou i autor tohoto nekrologu. Měli jsme na Arne Burkhardta pár otázek. Třeba jestli se konečně někdo z kolegů zastavil podívat na jeho preparáty, když očkovací hysterie dávno polevila. Ještě minulý týden mi Angelika připomínala: musíš zavolat tomu Burkhardtovi! Nestihl jsem to. A už to nestihnu. Věčná škoda.