Zobrazkár: Tipy pro klinickou praxi #7
Ahoj, píše vám Laco z radioVET.
Vítejte u dalšího vydání newsletteru Zobrazkár. Jednou za dva týdny vám doručím obsah týkající se zobrazovacích metod ve veterinární medicíně malých zvířat. Kromě užitečných rad zde najdete i zamyšlení nebo komentář k něčemu co mě trápí v klinické praxi.
Omluvám se, že jste předchozí číslo Zobrazkára nedostali. Vše jsem napsal a naplánoval publikování, ale omylem jsem zařadil newsletter do placené sekce, takže nebyl odeslán na vaše e-mailové adresy. Vše je již napraveno a Zobrazkár #6 je k dispozici na Forendors. Příště se to už nestane, protože jsem placené sekce zrušil.
Zamyšlení 🤔
Pokládáte si otázky, na které má vyšetření zobrazovacími metodami odpovědět?
❓❓❓
Ne? Určitě tomu dejte šanci.
👍🏻 Pomůže vám to vybrat správnou modalitu pro pacienta.
👍🏻 Lépe naplánujete a provedete samotné vyšetření.
👍🏻 Umožní zaměřit se na konkrétní aspekty při interpretaci (hlavní vs. náhodné nálezy).
👍🏻 Vyšší kvalita radiologické zprávy a následně zlepšení rozhodovacího procesu ošetřujícího lékaře.
Jaká je situace ve vaší praxi? Zajímá mě váš pohled na toto téma. Dejte mi vědět odpovědí na tento e-mail nebo v komentáři na webu.
Klinická věda stručně 🔬
Ačkoli je ultrasonografie často používána v klinické praxi díky své dostupnosti, její citlivost při detekci inzulinomu u psů je pouze 36 % [1]. To znamená, že více než polovina případů může být přehlédnuta.
🔻 Proč ultrazvuk selhává?
Velikost nádoru: Inzulinomy bývají malé, což ztěžuje jejich detekci ultrazvukem.
Lokalizace: Ultrazvuk často nezobrazí všechny části slinivky, zejména levý lalok, což omezuje jeho přesnost.
Metastázy: Přístroj nedokáže odhalit metastázy v lymfatických uzlinách a v některých případech ani v játrech.
👍🏻 Výhody CT vyšetření:
Vyšší citlivost: CT dokáže odhalit více nádorů než ultrazvuk. Ze 14 primárních nádorů detekovalo CT celkem 10, zatímco ultrazvuk pouze 5.
Detekce metastáz: CT vyšetření je lepší v detekci metastáz, zejména v játrech. I když ne vždy zcela přesné, nabízí vyšší pravděpodobnost jejich nalezení.
Plánování operace: CT pomáhá přesněji lokalizovat nádor a metastázy, což usnadňuje přípravu na chirurgický zákrok.
❗ Doporučení: Ultrasonografie může sloužit jako první krok při diagnostice, ale v případech podezření na inzulinom je vhodné zvážit CT vyšetření pro přesnější diagnózu a odhalení metastáz, zejména v játrech.
Oznámení 📢
Našel jsem zajímavý a velmi přínosný web VetUpdates Radiology
VetUpdates Radiology je nezisková iniciativa zaměřená na pokrok v diagnostickém zobrazování malých zvířat 🐶. Webová stránka nabízí měsíční newsletter shrnující nedávnou literaturu 📚, komplexní archiv pokynů (guidelines) 📜 a konsensuálních prohlášení (consensus statements) 🗣️ pro profesionály v oblasti radiologie a odkazy na různé bezplatné online zdroje 🌐.
Uživatelé se mohou přihlásit k odběru jejich newsletteru a být tak informováni o nejnovějších článcích v oblasti veterinární radiologie. 📬
🎯 Dostal se k vám tento e-mail přeposláním? Chcete to změnit a dostávat jej přímo a hned v čase vydání?
👉🏻 Přihlaste se k odběru.
USG tip 💡
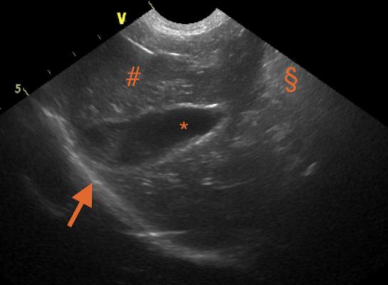
S ultrazvukem souvisí termín echogenita. Používáme ho k popisu USG obrazu, který je tvořen barvou bílou, černou a škálou šedi (monochromatický). Vnímání barev i odstínů šedé je relativní, a proto je vhodné uvádět k čemu popis vztahujeme (např.: hypoechogenní k okolnímu parenchymu).
Když je objekt na obraze černý, popíšeme ho jako anechogenní.(viz přiložený obrázek; *)
Hyperechogenní znamená, že objekt na obraze je bílý, nebo alespoň světlejší než něco jiného. (viz přiložený obrázek; § a šipka)
Hypoechogenní znamená, že objekt na obraze je tmavší než něco jiného. (viz přiložený obrázek; #)
Na tohle je dobré pamatovat, když sdělujeme výsledky USG vyšetření kolegům nebo píšeme zprávu. Všechno ostatní je relativní a ideálně by mělo být s něčím srovnáno (okolní struktury, normální vzhled). Prosím, používejte tyto pojmy při popisu usg snímků.

Na Veheri byly nedávno uveřejněny rtg snímky s typickým nálezem pro jednu ortopedickou diagnózu. Dnes už takové nálezy nevídám moc často. Možná je výskyt této nemoci nižší a možná mě to jen obchází.
Koukněte a do komentáře sdělte svůj názor. Registrace na Veheri je zdarma.
👉🏻 https://www.veheri.com/cases/1386780725
Vídáte takové nálezy v praxi často? Napište mi odpovědí na tento e-mail.
Kde se můžeme potkat? 🗺️
30.11. a 1.12. povedu USG workshop ve Frýdku-Místku ve spolupráci s firmou Chironax a klinikou Vetmanie. Kapacita je sice naplněna, ale můžete se přihlásit a dáme vám vědět před zveřejněním dalšího workshopu. Určitě ho budeme oakovat.
7.12. budu přednášet ve Smolenici v rámci konference Slovenské společnosti felinní medicíny. První přednáška bude na téma CT v onkologii a druhá o Dopplerovských ultrazvukových technikách. Bližší informace by měli být na stránkach SAVLMZ.
Děkuji, že jste přečetli celý email.
Mějte se dobře a vzdělávejte se.
Laco 👋🏻
PS: Předchozí vydání Zobrazkára najdete na webu Forendors nebo v jejich aplikaci dostupné pro iOS i Android.
Zdroje
[1] Robben JH, Pollak YW, Kirpensteijn J, Boroffka SA, van den Ingh TS, Teske E, Voorhout G. Comparison of ultrasonography, computed tomography, and single-photon emission computed tomography for the detection and localization of canine insulinoma. J Vet Intern Med. 2005 Jan-Feb;19(1):15-22.